










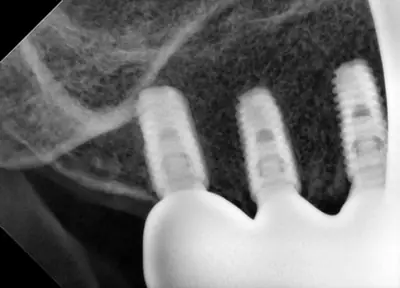
치과 치료를 두려워하는 분들을 위해, 진정요법을 활용한 사례를 소개합니다. 부산에 거주하던 60대 여성 환자가 치아가 많이 손상되어 임플란트와 브릿지 치료를 받았는데, 병원 트라우마와 공포로 어려움이 있었어요. 의식하 진정요법을 통해 깊은 낮잠 같은 상태에서 안전하게 치료를 받았고, 수술 과정도 성공적이었어요. 이 방법은 전신마취보다 안전하고, 환자도 큰 두려움 없이 치료를 마칠 수 있어요. 치과 공포증이 심한 분들도 전문가와 상담 후 진정요법을 고려해보시면 좋겠습니다.











치과 공포증이 심한 분들은 의식하 진정요법을 활용하는 것도 좋은 방법입니다. 전문가와 상담 후 안전하게 치료받는 것이 중요하며, 치료 전 충분한 설명과 신뢰 형성이 도움이 될 수 있어요.