안녕하세요! 오늘은 아이들의 충치 진단에 있어서 엑스레이 촬영과 보조 장비 활용의 중요성에 대해 이야기하려고 해요.

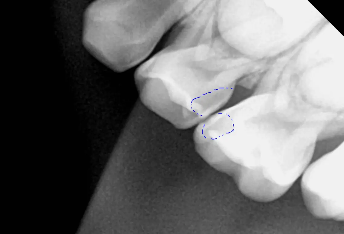
아이들의 충치는 눈으로 쉽게 확인되지 않는 경우가 많아서 정기적인 엑스레이 촬영이 매우 중요합니다. 특히 치아 사이에 생기는 인접면 우식은 눈으로는 잘 보이지 않아, 충치가 심하게 진행되기 전에는 발견이 어렵죠.

사례를 보면, 겉으로는 충치가 없어 보여도 엑스레이를 통해 충치가 상당히 진행된 상태임을 알 수 있었어요. 만약 방치했다면 신경치료까지 필요했을 수도 있죠. 그래서 정기 검진과 엑스레이 촬영이 꼭 필요하답니다.

또한, 충치 진단에 도움을 주는 보조 장비인 Q-ray pen C도 소개하고 싶어요. 이 기구는 치아에 특정 파장의 빛을 비추면 세균이 만든 형광 물질이 붉게 보여서 충치 위치를 더 정확히 파악할 수 있게 도와줍니다.

이처럼 엑스레이와 Q-ray를 함께 활용하면 충치의 위치와 진행 정도를 더 정확하게 알 수 있어, 치료 계획을 세우는 데 큰 도움이 됩니다. 아이들의 건강한 치아를 위해 정기 검진과 함께 이러한 장비 활용도 고려해보세요.

항상 아이들의 건강을 위해 노력하는 치과에서 정기 검진을 꼭 챙기시길 바랍니다!



이 글은 충치 진단에 있어 엑스레이와 보조 장비 활용의 중요성을 잘 설명하고 있어 실질적인 도움이 됩니다. 정기 검진과 함께 최신 장비를 활용하면 충치를 조기에 발견하고 치료하는 데 큰 도움이 될 것 같아요. 특히, 아이들의 치아 건강을 위해 정기적인 검진을 잊지 마세요!