[정보] 연세스탠다드치과 앞니 크라운 깨졌을 때 오래 쓰려면 이렇게 관리하세요!

안녕하세요! 민락2지구 연세스탠다드치과 김강재 원장입니다.

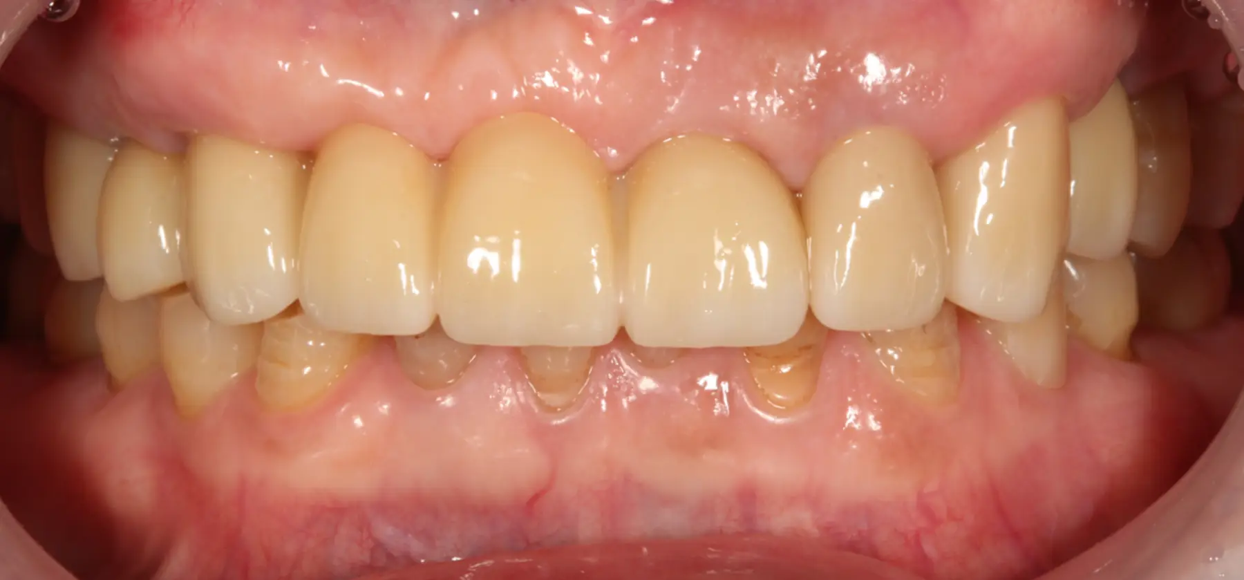
많은 분들이 크라운이나 브릿지 치료 후 오래 사용하고 싶어 하시죠?

적절한 관리만 잘하면 10년 이상 사용할 수 있는데요, 반대로 관리 소홀 시 수명이 짧아질 수 있어요.

image

특히 충치나 잇몸질환이 생기면 크라운 아래 치아가 약해지고 깨지거나 빠질 수 있으니 주의하세요.

지대주는 크라운이나 브릿지를 지탱하는 자연치로, 이 부분이 손상되면 보철물도 위험해집니다.

딱딱한 음식이나 이를 갈거나 깨무는 습관도 보철물을 망가뜨릴 수 있으니 조심하세요.

image

또한 충치나 외상으로 치아 뿌리까지 손상되면 임플란트로 교체하는 것도 고려할 수 있습니다.

임플란트는 잇몸과 뼈 상태를 꼼꼼히 체크한 후 적절히 시술하는 것이 중요합니다.

민락동 치과에서는 크라운과 브릿지 관리법을 알려드리고, 정기 검진과 X-ray를 통해 충치와 잇몸질환을 예방하는 것을 추천합니다.

image

올바른 칫솔질과 치실 사용, 단단한 음식 섭취 자제, 정기 검진으로 보철물 수명을 늘릴 수 있어요.

보철물은 한 번 하고 끝나는 게 아니니, 꾸준한 관리와 올바른 습관이 중요합니다.

저희 치과에서는 환자분 치아 상태에 맞춘 맞춤 관리법도 안내드리니, 오래 안전하게 사용하시길 바랍니다. 감사합니다!

image

Average Rating

5 Star
0%
4 Star
0%
3 Star
0%
2 Star
0%
1 Star
0%

댓글 남기기

이메일 주소는 공개되지 않습니다. 필수 필드는 *로 표시됩니다